VOCÊ ESTÁ EM: HOME » Quais os sintomas de problemas periodontais?
Os sintomas de problemas periodontais merecem atenção. Não é para menos, uma vez que doenças do periodonto podem se agravar se não forem diagnosticadas e tratadas, trazendo complicações sérias.
Mas quais são os sintomas periodontais? Será que o que você está sentindo é um sinal de doença periodontal? Aqui, respondemos essas dúvidas e indicamos possibilidades de tratamento para esses problemas. Acompanhe e saiba como cuidar de seu sorriso!

Fonte: Freepik
Os problemas periodontais são doenças que afetam os tecidos de sustentação dos dentes, ou seja, a gengiva, o ligamento periodontal e o osso alveolar. As duas condições mais conhecidas são a gengivite e a periodontite.
A gengivite é o estágio inicial, caracterizado pela inflamação da gengiva. A principal causa é o acúmulo de placa bacteriana que não foi removida adequadamente com a escovação e o uso do fio dental. Nesse estágio, os sintomas costumam ser mais leves.
Já a periodontite ocorre quando a gengivite não é tratada e evolui, atingindo mais estruturas de suporte do dente. Há destruição do osso e formação de bolsas periodontais que acumulam bactérias e agravam o quadro. A periodontite é uma condição mais complexa, que pode levar à mobilidade dental e à perda do dente.
Leia mais:
>>>> Gengivite não é só uma inflamação: o que ela está dizendo sobre sua saúde bucal (e geral)
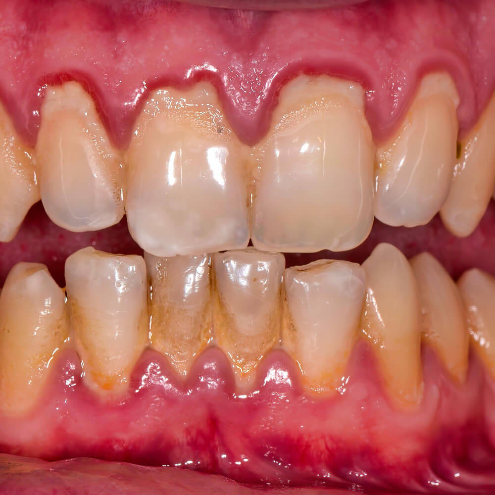
Os sinais das doenças periodontais podem passar despercebidos, mas é importante ter atenção a qualquer evento que fuja do normal. Assim, poderá procurar um periodontista o quanto antes, evitando complicações. Veja quais são os principais sintomas:
O sangramento gengival é o primeiro e principal sinal de alerta. Normalmente, ocorre com mais frequência durante a escovação e o uso do fio dental. O sintoma indica inflamação e não deve ser ignorado, pois é um sinal precoce de gengivite.
A retração gengival acontece quando a gengiva sobe, deixando a raiz exposta. O sintoma altera a estética do dente e o sorriso, mas não é só isso. Também aumenta a sensibilidade dental e facilita o acúmulo de placa. É um indicativo de que o avanço da doença periodontal já está comprometendo a estrutura de suporte.
O mau hálito persistente, também chamado de halitose, é frequentemente associado a problemas estomacais. No entanto, na maioria dos casos tem origem na boca.
O acúmulo de bactérias nas bolsas periodontais libera compostos de enxofre que causam o odor desagradável. Este é um sinal clássico de doença periodontal.
A inflamação destrói o osso e o ligamento periodontal, comprometendo a estabilidade dos dentes. A mobilidade dental é um dos sintomas mais preocupantes, pois indica que a periodontite já avançou e pode levar à perda dos dentes se não tratada rapidamente.
Os abscessos gengivais são pequenas bolsas de pus que se formam na gengiva em decorrência da infecção bacteriana. Geralmente, causam dor, inchaço e desconforto intenso. Além disso, representam risco de disseminação da infecção para outras partes do corpo.
A dor na gengiva pode ocorrer em quadros mais avançados, principalmente quando há formação de abscessos ou inflamação extensa. O sintoma reforça a necessidade de procurar imediatamente um especialista para diagnóstico periodontal.
O tratamento preserva a saúde bucal e dentes naturais, mantendo a qualidade de vida e autoestima. Quando você ignora os sinais de doença periodontal, as consequências são sérias.
A gengivite não tratada evolui para periodontite e causa a perda de osso e tecidos de suporte do dente. A progressão dos sintomas segue uma linha clara. Ela começa com o sangramento gengival, evolui para retração da gengiva e mau hálito persistente, até chegar à mobilidade dental e à perda dentária.
Há, ainda, outras complicações importantes. A periodontite tem relação com problemas sistêmicos, como doenças cardiovasculares, diabetes e complicações gestacionais. Por isso, deve ser tratada o quanto antes, protegendo sua saúde geral.
Atenção! O tratamento deve ser precedido por um diagnóstico periodontal minucioso, que inclui avaliação clínica detalhada e exames radiográficos. Somente a consulta com um especialista periodontal garante um plano terapêutico adequado às necessidades do paciente.
A Odontologia Contatore é um consultório odontológico em São Paulo especializado em doenças periodontais. Disponibilizamos tratamentos modernos como o uso de ondas ultrassônicas, laser e enxerto celular, com foco na saúde bucal e bem-estar. Agende seu check-up periodontal e previna complicações!
Leia também:
>>>> Tratamento para perda óssea dentária e a biocibernética
>>>> Como anda a saúde da sua gengiva? Conheça a importância da periodontia
Entre em contato, preenchendo o formulário com seus dados. Ou ligue agora para agendar.